Infectious Diseases Research
Through world-class research, we conduct investigator designed and driven research on interventions to control infectious diseases.
Infectious Disease Research Projects
Aetiology and outcomes of pleural infections in Canterbury: Filling knowledge gaps to change practice
Status: In-progress Year: 2022 Funded: $109,998 Grant Type: Major Project Grant
Researcher // Dr Michael Maze – University of Otago
Michael is an infectious disease and respiratory physician who has trained in NZ and internationally. He currently works as a clinician at Te Whatu Ora Waitaha Canterbury and as a senior lecturer at the University of Otago Christchurch.
His research interests include all aspects of respiratory infectious disease, and One Health approaches to zoonotic infections, particularly in tropical low- and middle-income countries.
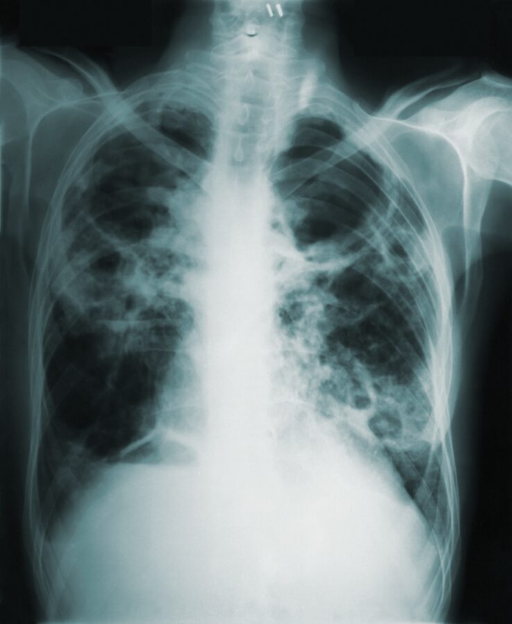
Pleural infection is a common and severe condition in which fluid builds up between the lungs and the chest due to a bacterial infection. Identifying the bacteria causing pleural infections is critical in choosing the correct antibiotics. Currently, by trying to culture bacteria from the fluid, doctors only identify the responsible bacteria in 60% of cases. We suspect bacteria that are difficult to grow, such as Legionella – the cause of Legionnaires’ disease, might be responsible. In Canterbury, Legionnaires disease is common – with among the highest rates in the world. We think it could also be a common cause of pleural infection.
We will find the responsible bacteria by looking for their DNA in the fluid using PCR testing. Better understanding of which bacteria are causing pleural infections, and particularly the role of Legionnaires’ disease, will help guide doctors’ antibiotic choices and help patients recover.
Little is known about how long it takes people to recover from pleural infections once they leave hospital. We aim to better understand recovery from pleural infection by following people for twelve months after their diagnosis and asking detailed questions about their health. This information will help future patients understand what to expect and help guide support from the health system.

Urinary antigen ELISA development for Legionella longbeachae detection
Status: In-progress Year: 2021 Funded: $110,000 Grant Type: Major Project Grant
Legionnaires’ disease (LD) is a severe type of pneumonia that is common in Canterbury. In Christchurch, one third of hospitalised patients with LD are admitted to the intensive care unit and over 11% die. The early detection of LD is important so that specific antibiotic treatment can be started as soon as possible. Unfortunately, less than half of patients can provide a sputum sample and, as a result, many cases remain undetected.
This study looks at developing a urine antigen test for the detection of L. longbeachae, the main cause of LD in New Zealand. An ELISA that is highly specific and sensitive for L. longbeachae will help reveal the true number of infections, not only in Canterbury and New Zealand, but also worldwide as a commercially available test. While, globally, most notified cases of LD are caused by Legionella pneumophila, diagnostic laboratories don’t routinely test for other Legionella species. L. longbeachae is therefore under-diagnosed as a cause of LD in other countries, despite several outbreaks being reported in the UK and Europe in recent years. A rapid and accurate urine antigen test for L. longbeachae will be an important step in improving diagnosis and patient outcomes, here and world-wide.
Researcher // Dr Amy Scott-Thomas – University of Otago
Dr Amy Scott-Thomas is a Research Fellow in the Breath Research Laboratory and leads the team in the development of non-invasive breath tests. Although the group researches multiple lung pathogens, Dr Scott-Thomas has a special interest in Pseudomonas aeruginosa and its growth in the Cystic Fibrosis (CF) lung. The focus of her research is to improve the current breath test for Ps. aeruginosa identification in the lungs of CF patients.
